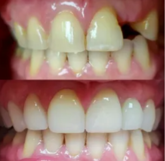
Your smile says a lot about your dental health. But oral wellness is not just about producing a brilliant grin. Dental health is closely linked to physical health. Optimizing your wellness involves regular visits with our dentists.
If you live in or near the Sherman area, you can receive compassionate, friendly, professional care at North Texas Dental. We are a family-oriented, full-service clinic that offers a wide variety of traditional and advanced techniques to support and enhance our patients’ oral health. Our team includes experts with various specialties who can address all of our patients’ needs in house.
